Почему ребенок задыхается и как ему помочь Если ребенок задыхается во сне, всхлипывает, просыпается по ночам…
Рубрика “Разное”
Категория: Разное
Ларингэктомия – удаление гортани Ларингэктомия является операцией по удалению гортани (части ого аппарата). Как правило,…
Витамины Алфавит: комплексные препараты для детей, взрослых В комплексах Алфавит витамины и минералы соединены таким…
Восстановление после удаления аденоидов: полезные советы Восстановление после удаления аденоидов требует обязательного приема лекарственных средств,…
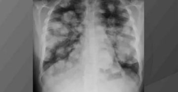
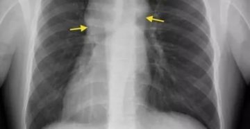
Как выявить метастазы в легких. КТ и рентгенологические признаки Компьютерная томография — один из самых…
Что делать если задыхаешься во сне — причины и лечение приступов удушья ночью Те, кто…
Амбробене и Бромгексин: сравнение препаратов и что лучше взять Каждый человек хоть раз в жизни…
Лимфаденопатия шейных лимфоузлов: лечение, причины, симптомы и виды Лимфаденопатия шейных лимфоузлов – это такое состояние…
Аспирин упса — инструкция по применению, цена, отзывы и аналоги Аспирин Упса предназначен для снижения…
Назальные деконгестанты: ограничения применения | Журнал Статті При легких формах ОРВИ лечение как взрослых, так…









