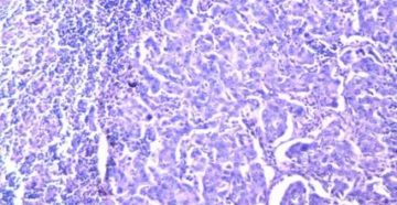
Что такое низкодифференцированная аденокарцинома? Низкодифференцированная аденокарцинома является наиболее злокачественным типом раковых новообразований, для которых характерно…
Рубрика “Разное”
Категория: Разное
Куф горла и носа: аппаратная физиотерапия для домашнего применения Физиотерапия предлагает многочисленные методики, которые активно…
Почему новорожденный часто и тяжело дышит во сне Дыхание новорожденных имеет огромное значение в качестве…
Синдром уплотнения паренхимы легких: симптомы, диагностика, лечение Паренхима легких – термин, используемый в медицине, означающий…
Офлоксацин и ципрофлоксацин отличия — Онлайн медицина Эффективность у Ципрофлоксацина достотаточно схожа с Офлоксацином –…
Ощущение холода в грудной клетке: причины Ощущение холода в грудной клетке Ощущение холода в грудной…
Психосоматика простуды и гриппа у взрослых (4 причины и 1 решение) 26.11.2018 · Психолог…
Что такое полисинусит, его симптомы, лечение и профилактика При осложнении синусита, инфекция поражает несколько пазух,…
Передозировка ксилометазолином симптомы — 1 мл содержит: ксилометазолина гидрохлорид 500 мкг. Вспомогательные вещества: бензалкония хлорид 150 мкг/мл,…
Отоскоп Отоскоп – это медицинское устройство, которое используется для изучения ушей. Поставщики услуг применяют отоскопы…









