Спринцовки Под спринцовкой в медицине понимается специальный инструмент, применяемый для откачивания либо подачи различных жидкостей,…
Рубрика “Разное”
Категория: Разное
Химиотерапия красная и белая Если онкологи разделяют лекарственную терапию, проводимую ими от той или иной…
Пневмосклероз легких: признаки, лечение, продолжительность жизни — Про Легкие Пульмонология9 болезней, приводящих к развитию пневмосклероза,…
Пикфлоуметры — норма выдоха у детей и взрослых В данной статье приведена информация о том,…
Поиск безопасных и эффективных лекарственных препаратов Эффективность у Ксилометазолина достотаточно схожа с Тизином ксилом –…
Диагностика микобактериозов (туберкулеза) птиц Микобактериозы – группа инфекционных заболеваний человека и животных, включая все виды…
Болит голова над бровью и в области лба? Узнайте больше о тензионной головной боли Тензионная…
Болит голова в области лба: причины, лечение боли Каждый человек периодически страдает головной болью. Эпизодически…
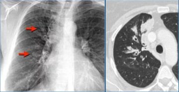
Множественные очаги в легких Компьютерная томография (кт) — это один из методов исследования человеческого тела…
Кальция хлорид пить внутрь Хлористый кальций представляет собой уникальное лекарственное средство, способное оказать быстрый эффект…









