Дыхательная гимнастика при ХОБЛ в домашних условиях — упражнения для легких и бронхов, при бронхите,…
Рубрика “Разное”
Категория: Разное
Лимфофолликулярная гиперплазия слизистой желудка и подвздошной кишки Эндокринолог высшей категории Анна Валерьевна 27857 Дата обновления:…
Тизин или Називин? Что такое насморк, известно каждому человеку. Медики обозначают его термином «ринит» (от…
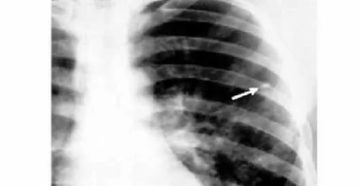
Что такое кальцинаты в легких? Подробнее о проблеме Как выявить кальцинаты в легких. Что такое…
Чем опасна гранулезная форма фарингита и как ее лечить Отличие гранулезного от обычного фарингита заключается…
Нейтрофилы 100 процентов в риноцитограмме что значит Длительный насморк может сигнализировать об опасных заболеваниях. Причем…
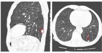
Очаги в лёгких на КТ — что это может быть и как выглядят очаговые изменения…
Причины появления озноба перед менструацией и его лечение Менструация часто сопровождается дискомфортом и неприятными симптомами….
Как проводится пункция легких При проведении диагностики на злокачественные опухоли органов дыхания проводится биопсия легких….
Соляная пещера для детей: показания и противопоказания, польза и вред Ионизированный воздух оказывает целебное воздействие…









