Одиночный легочный узел Одиночный (солитарный) легочный узел — это одиночное, чаще всего округлое или сферическое образование размером…
Рубрика “Разное”
Категория: Разное
Причины симптомов: головокружение, тошнота, слабость, потливость Слабость и головокружение могут быть симптомами различных патологий Если…
Что лучше от кашля пертуссин или корень солодки С наступлением холодов учащаются простудные заболевания, при…
Неотложная помощь при повешении. Знайте как действовать и в такой ситуации! Повешение относится к странгуляционной…
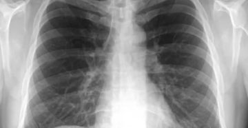
Рентгенография грудной клетки: показания к проведению диагностики Рентген грудной клетки — частая диагностическая процедура, которая…
Причины возникновения болей в скулах и что с этим делать? » Проблемы с челюстями В…
Плевродиафрагмальные спайки в легких: что это такое, в чем опасность? Плевродиафрагмальные спайки – это соединительная…
Пирсинг уха – виды проколов, особенности ухода, фото Археологические находки в разных частях света свидетельствуют…
Зачем и как мазать пятки йодом? Йодная сетка: от чего помогает, правила нанесения Йодный раствор…
Туберкулома легких: что это такое и последствия, заразна туберкулома или нет Некоторых пациентов интересует вопрос:…









