Все о фиброзе легких: как лечить фиброзные изменения в легких Легочный фиброз предусматривает наличие в…
Рубрика “Разное”
Категория: Разное
Пути передачи инфекции: как защитить себя от болезни? 10.04.2018 Зная элементарные правила гигиены, можно легко…
В чем заключается лечение ларингита Многим известно, что ларингит – это воспаление слизистых оболочек гортани,…
Кисты и свищи — Детская челюстно-лицевая хирургия Киста — это патологическая полость в тканях или органах, имеющая…
Операция по восстановлению барабанной перепонки: показания и особенности проведения Снижение слуха обычно связано с воспалительными…
Что такое моракселла: таблица норм бактерий и лечение антибиотиками, как избавиться от них и чем…
Причины сильной потливости и слабости Многие люди испытывают в течение дня слабость и потливость без…
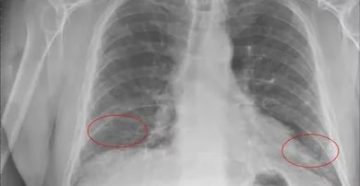
Уплотнение междолевой плевры справа что это || Уплотнение междолевой плевры справа что это Плеврит –…
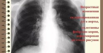
Лечение уплотнения корней легких народными средствами Период межсезонья сопровождается затяжными дождями и простудными заболеваниями. В…
На подбородке под кожей появилась шишка и болит: что это такое? Когда вскочила внутренняя шишка…









