Дифтерия у ребенка. Причины, симптомы, лечение и профилактика дифтерии | Здоровье детей Дифтерия у детей…
Рубрика “Разное”
Категория: Разное
Юнидокс солютаб — доксициклин (в форме моногидрата) (doxycycline) Состав и форма выпуска препарата Таблетки диспергируемые…
Флюдитек или Аскорил, что лучше при кашле для детей и взрослых Лечение подавляющего большинства респираторных…
Таблетки для рассасывания при ларингите Когда человек заболевает обычной простудой, часто даже не задумываемся о…
Муколван в ампулах: инструкция по применению Латинское название: MucolvanumКод АТХ: R05CB06Действующее вещество: АмброксолПроизводитель: ГНЦЛС, УкраинаУсловие…
Слизистая желудка гиперемирована: что это такое, причины, симптомы, лечение — Здоровье сосудов Гиперемия – это…
Капли для детей и взрослых Стоптуссин: инструкция Стоптуссин капли – противокашлевое комбинированное лекарственное средство, обладающее…
Что лучше: Лазолван или Бромгексин? Воспалительные заболевания дыхательных путей часто сопровождаются появлением кашля. Это защитный…
Как остановить капиллярное кровотечение Кровотечение представляет собой потерю крови из сосудистого русла в результате заболеваний…
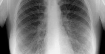
Диагностика заболеваний легких и дыхательных путей Заболевания дыхательных путей доставляют дискомфорт не только самому больному,…









