Неотложная медецинская помощь при астматическом статусе Астматический статус — это сложнейшее обострение бронхиальной астмы, продолжительного характера,…
Рубрика “Разное”
Категория: Разное
Альбуцид и Левомицетин: сравнение капель и что лучше Среди причин, по которым обращаются к офтальмологу,…
Оказание первой помощи при носовом кровотечении Некоторым людям кажется, что первая помощь при носовом кровотечении…
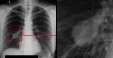
Операции на легких Парным органом, который обеспечивает весь человеческий организм кислородом, являются легкие. Нередко именно…
Ацц или Флюдитек — что лучше? Большинство средств для разжижения мокроты (муколитики) широко применяются в…
Вся информация о Каметон на Аптека.ру **** Ай Си Эн Октябрь ОАО Алтайвитамины ЗАО ВИПС-МЕД…
Синдром аспирации мекония у новорожденных Этот синдром является самостоятельной нозологией. Преимущественно аспирация мекония наблюдается у…
Цефотаксим уколы Клафоран; Цефантрал; Цефосин. Цена Средняя цена онлайн*, 990 р. (50 флаконов 1г) Где…
Как подготовиться к прохождению флюорографии С помощью снимка лёгких, полученного в результате флюорографии, врачи могут…
Фурацилин при гв Инфекционные заболевания при грудном вскармливании – это распространённое явление. Это объясняется ослаблением…









