Дезинфекция ингалятора : 5 / 5 Ингаляторы стали широко применяться в домашних условиях, но вот правилам гигиены…
Рубрика “Разное”
Категория: Разное
Аналоги Клацида Антибиотик Клацид – оригинальный препарат для лечения бактериальных инфекций у взрослых и детей….
Эффективные сосудорасширяющие назальные капли Сосудорасширяющие капли в нос назначаются при отечности слизистой носовых проходов. Назальные…
Назальные кортикостероиды: препараты Кортикоиды – гормональные вещества, продуцируемые корой надпочечников человека. Различают несколько их разновидностей…
Характеристика отека подбородка, шеи и губ Любое образование, которое появилось на коже, диагностируется дерматологом. Касается…
Врач по легким и бронхам: как называется, что лечит Заболевания дыхательной системы являются одними из…
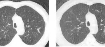
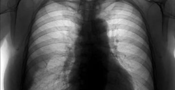
Киста легкого у взрослых: что это такое, симптомы, что делать и лечение При переводе с…
Почему у девушек нет кадыка? Кадык для многих считается загадочной частью тела, которая подчеркивает разницу…
Смородиновое варенье при грудном вскармливании — Мамины новости Фруктовые десерты пользуются большим спросом среди кормящих…
Пневмофиброз легких: что это такое, чем опасен и последствия, лечение народными средствами Пневмофиброз (пневмосклероз) –…









